2019년 11월 25일 월요일

자동차 실내가 이 정도는 되어야... 메르세데스 벤츠 실내 특징

자동차 실내가 이 정도는 되어야... 메르세데스 벤츠 실내 특징

108,416 읽음
댓글131
'감성 품질'
자동차 실내에서 중요한 부분
'감성 품질'이라는 말이 있다. 감성 품질이란 대상을 오감으로 감각하고 지각하여 표상을 형성하는 인식 능력이라고 정의한다. 특히 자동차 실내 부분에서 감성 품질을 매우 강조하는데 이는 자동차에 탑승해 하차할 때까지 계속 보고 느끼게 되는 부분이기 때문이다.

고급차일수록 감성품질이 더욱 강조된다. 눈으로 보는 고급스러움, 온몸으로 느끼는 편안함이 잘 어우러져야 하며 운전자가 다양한 기능을 편리하게 조작할 수 있도록 구성되어 있다. 감성품질을 중요시하는 메르세데스-벤츠의 실내 특징에 대해 몇 가지 정리를 해보았다.

메르세데스-벤츠의
실내 특징, 무엇이 있을까?
위 : W212 E클래스 실내, 아래 W213 E클래스 실내
더 젊어지고
고급스러워진 인테리어

일반적으로 고급차라고 하면 중후하다는 인식을 가지고 있다. 메르세데스-벤츠도 불과 몇 년 전까지만 해도 실내 디자인이 비교적 중후한 편이였다. 비교적 직선으로 이루어져 있으며, 스티어링 휠도 4스포크 형태로 되어 있는 것이 특징이다.

세대교체를 통해 그동안 중후했던 인테리어를 벗고 젊어지면서 더욱 고급스러워진 디자인이 적용되었다. 수입차를 구매하는 고객이 점점 젊어지면서 인테리어 또한 점점 젊어지고 있다. 직선 위주의 인테리어는 곡선 위주로 변화했고 4-스포크 스티어링 휠은 3-스포크 스티어링 휠로, 사각형의 송풍구는 원형으로 변화해 스포티한 이미지를 선사한다.
인테리어에 적용되는 소재도 다양해졌다. 고급차의 상징이었던 우드 트림뿐만 아니라 알루미늄, 하이그로시, 카본을 선택할 수 있다.

트림 아래쪽에는 블랙, 브라운, 베이지 색상을 적용할 수 있으며 센터패시아 부분도 우드, 카본 등을 적용할 수 있다. 다양해진 인테리어 옵션을 잘 조합해 취향에 맞는 나만의 메르세데스-벤츠 실내를 구성할 수 있다.
고급스러움과
편안한 승차감을 모두 잡은 시트

차에 탑승하면 항상 몸과 붙어있는 시트, 이 시트에는 편안함과 고급스러움을 모두 담은 메르세데스-벤츠의 노력이 담겨 있다. 시트는 최고급 가죽 소재를 사용했으며, 시각적인 효과를 높이기 위해 펀칭 패턴 무늬 혹은 2가지 이상 색상을 조합한다.

또한 편안한 자세를 유지하기 위해 인체공학적으로 설계되어 있다. 세미 버킷형으로 디자인된 시트는 운행 시 탑승자 측면을 잡아줘 안정성을 높였다. GLE 등 일부 모델은 자신의 키를 입력하면 이에 적합한 시트 포지션을 자동으로 조절해주는 기능까지 갖췄다.
뒷좌석도 앞 좌석만큼 신경을 많이 쓴 모습을 볼 수 있다. 앞 좌석 시트와 동일하게 고급 소재를 사용했으며 펀칭 패턴 등을 활용하여 무늬를 새겼다.

또한 쾌적한 뒷좌석 공간을 위해 레그룸을 최대한 넓혔다. 2열에 아무도 탑승하지 않는다면 좌석을 접어 부피가 큰 짐을 싣는 적재공간으로도 활용할 수 있다.
인테리어를 더욱 부각시키는
앰비언트 라이트

대시보드와 도어 트림, 센터 터널 등 여러 곳에 적용된 앰비언트 라이트는 고급스러운 인테리어를 더욱 부각시켜준다. 특히 실내가 어두워지는 야간에 앰비언트 라이트의 효과가 더욱 극대화된다.

앰비언트 라이트는 64가지 색상으로 설정 가능하며, 여러 가지 색상을 순차적으로 전환시키는 멀티 컬러 기능은 탑승자의 감성을 더욱 자극한다. 앰비언트 라이트는 엔트리 모델인 A클래스부터 플래그십 모델인 S클래스까지 모든 모델에 적용되어 있다.
인테리어 효과와 기능성을 모두 챙긴
와이드 스크린 콕핏

메르세데스-벤츠 실내에는 디지털 계기판과 센터패시아 디스플레이를 하나로 이은 '와이드 콕핏 디스플레이'가 적용되어 있다. 12.3인치 대형 디지털 계기판은 고해상도 디스플레이를 적용해 운행과 같은 정보를 직관적으로 보여준다.

내비게이션을 활성화하면 RPM 게이지와 속도 게이지 사이로 지도가 표시되고 목적지까지 빠른 길을 안내한다. 계기판 스타일은 클래식, 스포티, 프로그레시브 세 가지를 통해 선택한 주행 모드에 맞게 디스플레이를 최적화한다. 
센터패시아에 있는 와이드 디스플레이는 자동차의 설정이나 엔터테인먼트를 제어할 수 있다. 디지털 계기판과 센터패시아 디스플레이가 나란히 연결되어 있는 모습은 마치 듀얼 모니터를 연상케 하며, 멀티태스킹 기능을 더욱 극대화해준다.

예를 들면 계기판 중앙에 내비게이션을 활성화시켰다면 센터 디스플레이로는 음악 재생 화면을 띄우거나 공조 기능 설정, 라디오 혹은 전화 화면을 띄울 수 있다. 최근 출시된 몇몇 모델에는 인공지능 기반 인포테인먼트인 MBUX가 적용되어 다양한 기능을 음성으로 편하게 설정할 수 있다.
다른 차들과 다른
일부 조작 버튼

메르세데스-벤츠를 처음 접하는 사람이라면 실내에 탑승하자마자 당황할 것이다. 다른 자동차와 조작법이 다른 부분이 존재한다. 이 때문에 초반에 적응하는 단계에서 실수를 저지르기도 한다.

가장 먼저 기어 노브는 스티어링 휠 오른쪽에 레버 형식으로 적용되어 있다. 다른 차의 '와이퍼'에 해당하는 위치에 기어가 있다. 고성능 모델인 AMG는 원래 센터 콘솔에 적용되어 있었으나 세대교체로 일반 모델과 동일한 형태로 변화했다.
전조등 조작 버튼(적색)과 와이퍼 조작 버튼(노란색)
그렇다면 기어 노브에 있던 와이퍼 조작 기능은 어디로 갔을까? 바로 다른 차의 '전조등'에 해당하는 위치에 와이퍼 조작 기능이 있다. 전조등을 조작하는 것처럼 레버를 위/아래로 돌리면 와이퍼가 작동한다. 레인센서를 기반으로 하는 오토 와이퍼와 연속 와이퍼 등 총 4가지 단계로 작동한다.

마지막으로 전조등은 어떻게 작동시킬까? 바로 스티어링 휠 왼쪽 아래를 살펴보면 원형 레버가 하나 있다. 이를 돌려 전조등을 켠다. 주차등, 미등, 오토라이트, 하향등 순서로 구성되어 있으며 옆에 별도로 후방 안개등 기능이 있다. 상향등과 방향지시등의 작동 방법은 다른 차들과 동일하다.
스티어링 휠에도 터치 패드가 적용되어 있다
기능 조작을 더욱 편하게
터치 패드

메르세데스-벤츠의 센터 콘솔에는 터치 패드가 존재한다. 터치, 슬라이드, 줌인/줌아웃을 이용해 메뉴를 선택하고 실행할 수 있어 조작감이 향상되었다. 물론 기존의 조그 서클도 터치패드와 함께 적용되어 있다.

스티어링 휠에도 이와 동일한 기능을 수행하는 터치 패드가 조그마하게 적용되어 있다. 스티어링 휠 왼쪽과 오른쪽에 각각 하나씩 존재하며 상하좌우로 드래그, 클릭으로 제어할 수 있다. 왼쪽 터치패드는 디지털 계기판을, 오른쪽 터치패드에는 센터 디스플레이를 제어할 수 있다. 운전 도중 스티어링 휠에서 손을 때지 않고 조작할 수 있다는 장점이 있다.

2019년 11월 24일 일요일

어깨 힘줄에 석회가 생겼다고?

어깨 힘줄에 석회가 생겼다고?

31,406 읽음
댓글16
지난 회 ‘어깨가 아픈 세 가지 이유’에 나온 석회성 건염에 대해 한번 짚어 보겠습니다. 당시 설명한 내용을 요약하면 다음과 같습니다.   
석회성 건염의 원인
석회성 건염은 정상인의 약 30%가 겪는 매우 흔한 병입니다. 석회로 고생하는 사람들은 석회가 왜 생기는지에 대해 반드시 질문합니다. 너무 아팠기 때문에 재발을 피하고 싶은 마음일 것입니다. 문제는 아직도 왜 생기는지 알지 못합니다. 20대, 30대 젊은 사람들에게도 많이 생기므로 반드시 노화가 원인은 아닙니다. 지금까지 연구된 바로는 연부조직이 손상된 후, 우리 몸의 반응에 의해 석회가 만들어진다고 믿고 있습니다. 석회가 만들어지는 것은 사람의 체질에 따라 다르며 이에 대한 유전자 분석 결과가 발표되고 있습니다. 
 
석회는 유전적인 소인 때문에 생기므로 오른쪽 어깨의 회전근개 힘줄에 석회가 있으면 왼쪽에도 있을 가능성이 높습니다. 석회결절이 어깨에 있으면 손목이나 무릎, 발목 등에도 있을 가능성이 높습니다. 자녀도 비슷한 체질을 가질 수 있습니다.
석회는 힘줄 뿐만 아니라 인대, 관절막 등의 연부조직과 관절연골에도 생깁니다. 관절 석회는 힘줄의 석회와는 성분이 좀 다르고 연세가 많은 분들에게 일어납니다. 녹을 때 관절이 많이 붓고 심하게 아픕니다.

석회결절로 인한 통증은 매우 심해서 잠을 설치기도 하고 운동을 할 때는 화가 날 정도로 아파 성가신 병이지만 장기적인 예후는 결코 나쁘지 않습니다. 결절이 녹아내리는 동안은 아프지만 녹으면 완치되는 병입니다. 그래서 연구가 많이 되지 않고 있습니다. 죽을병도 아니고 불구가 되는 병도 아니기 때문입니다.
석회성 건염 치료 방법
통증이 심하지 않으면 소염제를 며칠만 먹어도 좋아집니다. 따라서 작은 석회가 있는 경우, 운동을 열심히 해서 석회가 더 빨리 녹아내리도록 합니다. 그러면 통증은 당연히 심해지며 그때 소염제를 조금 먹으면 됩니다. 이를 반복하다 보면 빨리 완치됩니다.
문제는 소염제로 해결되지 않고, 참을 수 없이 아픈 경우가 있습니다. 얼마나 아팠으면 부모님의 빈소를 지키던 맏아들이 석회 치료를 받기 위해 진료실을 찾은 적도 있었고, 복부 수술을 한 다음 날 어깨가 너무 아파서 석회를 뽑았던 아주머니도 있었습니다. 당시, 수술한 배가 더 아픈지 어깨가 더 아픈지 물었다가 혼났습니다. 어깨가 훨씬 아프지 무슨 그런 질문을 하느냐고. 
배를 가르는 수술로 인한 상처보다
석회가 녹는 어깨가 더 아프다는 사실을 그때 알았습니다.
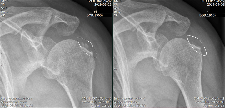
그림 1은 엑스레이에서 보이는 석회 덩어리와 이를 물로 세척해낸 주사기들의 모습입니다. 주사기로 뽑고 나면 대부분의 석회가 사라집니다.
그림 1. 좌측 영상에는 어깨에 생긴 큰 석회덩어리(화살표)가 보이지만 주사기로 뽑고 나서 찍은 우측 영상에는 해당 부위(화살표)의 석회덩어리가 사라진 모습입니다. 가운데 주사기들은 식염수에 녹아 나온 뿌연 석회입니다.
석회 덩어리를 해결하는 가장 깔끔한 방법은 주사기로 뽑아내는 것입니다.
이 방법을 '석회 쇄척술(碎滌術)' 영어로는 'calcium barbotage'라고 합니다. 요도에 생긴 돌, 요석(尿石)을 잘게 부수는 것을 쇄석술(碎石術)이라고 하는데 석회 쇄척술은 잘게 부술 뿐만 아니라 물로 씻어내기에 ‘부수고(碎) 씻어(滌)낸다’는 뜻으로 쇄척술(碎滌術)이라 합니다. 우리나라에서 석회 쇄척술을 하는 사람이 몇 명 없기 때문에 제가 명명하였습니다.

사실 세계적으로 석회 쇄척술은 널리 시행되지 않습니다. 1995년 핀란드의 영상의학과 의사가 초음파를 보면서 석회 쇄척술을 한 것이 최초의 문헌 보고입니다. 이후, 유럽에는 쇄척술을 시행하는 곳이 몇 군데 있는 거 같지만 미국에는 별로 없는 듯합니다. 재미교포들이 우리 병원에 와서 쇄척술을 받는 경우가 자주 있기 때문입니다.

쇄척술은 석회를 제거하는 가장 좋은 방법이지만 모든 석회덩어리에 쇄척술을 할 수 있는 것은 아닙니다. 석회 덩어리가 너무 작거나, 큰 석회 덩어리가 몇 개의 작은 조각으로 부수어진 상태에는 쇄척술이 불가능합니다.
큰 석회가 반드시 쇄척술이 필요한 것은 아닙니다. 아래의 실제 증례를 봅시다.
석 달 전, 큰 석회가 있어서 언젠가는 쇄척술이 필요할 것이라 예상했던 52세 여성 환자가 “어깨가 너무 아파요. 석회를 뽑아주세요”하고 진료실을 다시 방문했습니다. “지금 상황을 봅시다”하고 찍은 엑스레이를 확인해 보니, 석회가 녹아서 거의 없었습니다. 저절로 녹아내린 것입니다. (그림 2)
그림 2. 좌측 영상에는 왼쪽 어깨에 생긴 큰 석회덩어리(점석 내부)가 보이지만 3개월 후 통증이 심해서 다시 찍은 우측 영상에는 점선 내부의 석회덩어리가 저절로 사라진 모습입니다. 아무런 치료를 하지 않았는데도 저절로 석회가 녹으면서 어깨가 아팠던 것입니다. 당연히 처방은 “아프면 소염제 드셔 가면서 운동 더 열심히 하세요!” 입니다.
“석회가 저절로 다 녹아서 뽑을 것이 없으니 소염제를 받아 가셔서 아플 때 먹으면서 운동 열심히 하세요. 시간이 지나면 다 나을 것입니다.”

이것이 석회 결절의 행태입니다. 시시각각으로 변합니다. 절대로 생명을 위협하거나 장애를 남기지 않기 때문에 걱정할 필요는 없습니다. 상황에 맞춰 적절히 치료하면 되는 병입니다.

지난 칼럼의 댓글에서 ‘관절낭염과 점액낭염의 차이’와 ‘충돌증후군’에 대하여 알려달라고 하였습니다. 이들도 모두 석회성 건염과 밀접한 관계가 있습니다. 조만간 그 관계를 정리할 기회를 찾아보겠습니다.
*위 자료는 서울대학교병원의 소중한 자산입니다. 무단으로 사용시 저작권법에 의해 처벌 받을 수 있습니다.
*제공된 의학정보는 일반적인 사항으로 개개인의 특성을 반영하지 못합니다. 구체적인 사항에 대해서는 반드시 가까운 병원에 내원하여 상담을 받으시기 바랍니다. 

2019년 11월 16일 토요일

20년만 버티면…? “이 땅은 이제 제 겁니다.”

20년만 버티면…? “이 땅은 이제 제 겁니다.”

직방 입력 2019.11.08 11:55 수정 2019.11.08 11:56
조회 2759추천 0
김인만의 트루 내 집 마련 스토리 #111
얼마 전 이런 질문을 받았다. “20년간 남의 부동산을 가지고 있으면 소유권이 이전된다고 하는데 고향에 있는 시골 집이 걱정입니다.” 그렇다. 민법에는 20년간 부동산을 점유하고 있으면 소유권을 취득하는 점유취득시효 규정이 있다.

아니, 이런 말도 안 되는 법이 왜 있을까? 남의 부동산을 20년 가지고 있다는 이유로 소유권을 빼앗아 간다는 것이 자본주의 사회에서 가능한가? 부동산을 가지고 있는 소유자 입장에서는 말이 안 된다고 생각할 것이다. 법을 만드신 분들이 설마 아무 생각 없이 이런 법을 만들었을 리는 없다. 20년을 가지고 있으면 내 부동산이 된다는 ‘점유취득시효’에 대하여 알아보자.

20년간 점유하면 내 땅이 된다고?
출처 직방
점유취득시효란?
민법 245조에서 점유취득시효에 대해 규정하고 있다.

20년간 소유의 의사(자주, 自主)로 평온(물건을 순순히 건네받은 경우처럼 폭력을 쓰지 않음), 공연(누구나 알 수 있게 드러내 놓음)하게 부동산을 점유하는 자는 등기를 함으로써 소유권을 취득한다고 되어 있다.

가령, 1971년부터 최초 점유했다면 1991년에 점유취득시효가 완성되어 내 부동산이 되는 것이다.
부동산을 20년 동안 점유하면 취득시효가 완성된다.
출처 직방
주의해야 할 점은 반드시 등기가 필요하다는 것이다.

땅에 떨어진 물건을 주웠을 때, 6개월 동안 주인이 안 나타나면 내 소유권이 되는 유실물 습득과 같이 별도 계약 없이 법률 규정에 의해 취득되는 권리 중 유일하게 등기가 필요한 것이 취득시효다. 그냥 점유만 하고 있으면 되는 것이 아니라 등기도 꼭 해야 한다.

만약 20년간 땅을 사용하면서 취득시효가 완성되었는데, 등기를 하지 않고 있다가 그 땅이 매매가 되어 땅 주인이 바뀌어 버리면 새로운 땅 주인한테 소유권을 주장할 수 없기에 혹시라도 취득시효가 완성되었다면 빨리 등기를 하는 것이 좋다.

쉽게 말해 문제 일으키지 않고 조용하게 시골 땅과 집을 사용하면서 20년이 지나 등기까지 하면 내가 주인이 될 수 있다는 의미다. 하지만 실제로 알고 보면 실현하기 굉장히 어려운 제도다. 해당 법으로 인해 피해자가 생기는 것을 막기 위해 부동산 소유자가 재산을 지킬 수 있는 안전장치를 마련해 두었기 때문이다.
직방에서 본 전국 아파트 매매 시세다.
출처 직방
물건적 청구권?
그 안전장치는 바로 물건적 청구권이다. 내 땅에서 나가달라는 요청을 하면 취득시효는 유명무실해진다는 의미다.

예를 들어, 시골에 주인 없어 보이는 땅이 있어서 농사를 짓고 있었다고 하자. 시간이 흘러 점유한지 19년째가 되던 날, 땅주인에게서 연락이 왔다. 당신이 내 땅을 불법 점유하고 있으니 나가 달라고. 그렇게 되면 취득시효는 원점으로 돌아간다. 취득시효를 얻기 위해서는 그 시점에서 다시 20년을 평온, 공연하게 점유해야 한다. 부동산 소유주는 적어도 20년에 한 번은 내 부동산을 점유하고 있는 누군가가 있나 확인해야 할 것이다.

그런데 가령 1971년부터 점유했는데, 너무 오래되어서 입증할 사람이 없고 그나마 1981년부터 입증이 가능한 상황이라면 입증 가능 시점인 1981년부터 기산되어 2001년이 되어야 취득시효가 완성된다. 하지만, 그 도중 1985년에 소유자가 변경된다면 또 문제는 달라진다.

점유기간 중 소유자 변동이 있으면 점유기간, 점유개시일을 변경하는 것이 불가해서 소유자 변경시점인 1985년부터 20년이 지나 2005년이 점유취득시효 완성시점이 된다. 이렇게 소유자가 변동된 시점을 새로운 기산점으로 삼아 다시 점유취득시효가 완성되는 것을 재취득시효라 한다.
점유 도중 소유자가 변경되면 그 시점부터 점유 기간을 기산해야 한다.
출처 직방
이렇듯 점유취득시효는 사실상 상태를 존중하는 제도로 현실적으로 남의 땅을 20년간 점유해서 내 것으로 만들기란 매우 어렵다. 방치되어 있는 부동산이 있다해도 그림의 떡인 것이다.
등기부취득시효란?
취득시효에는 점유취득시효만 있는 것이 아니고 등기부취득시효도 있다.

등기부취득시효는 부동산의 소유자로 등기한 자가 10년간 소유의 의사로 평온, 공연, 선의(있다고 믿는 것), 무과실(잘못이 없는 경우 즉, 주의를 해도 알 수 없음)로 점유하면 소유권을 취득하는 제도다.

소유자가 등기만 하면 되지, 10년간 점유도 해야 한다는 말인가? 그게 아니라 이 등기부취득시효제도는 등기까지 해서 자기 부동산인줄 알고 있었는데, 등기 무효사유에 해당되어 실제는 자기 부동산이 아닌 경우라도 등기 기간이 10년이 되고 10년간 점유도 했다면 소유권을 인정해 주는 제도다.
취득시효에는 점유취득시효와 등기부취득시효가 있다.
출처 직방
그리고 동산 물건에 대해서도 취득시효제도가 있기는 하나, 그것을 최소 5년에서 10년간 점유하는 것이 현실적으로 어렵기에 사실상 동산 물건의 취득 시효는 거의 없다고 보면 된다.


글. 김인만 / 김인만부동산연구소장
'7일만에 끝내는 부동산 지식' 저자
네이버 카페 '김인만 부동산 연구소'
유튜브 '김인만 부동산TV

직방 입력 2019.11.08 11:55 수정 2019.11.08 11:56
조회 2759추천 0

김인만의 트루 내 집 마련 스토리 #111
얼마 전 이런 질문을 받았다. “20년간 남의 부동산을 가지고 있으면 소유권이 이전된다고 하는데 고향에 있는 시골 집이 걱정입니다.” 그렇다. 민법에는 20년간 부동산을 점유하고 있으면 소유권을 취득하는 점유취득시효 규정이 있다.

아니, 이런 말도 안 되는 법이 왜 있을까? 남의 부동산을 20년 가지고 있다는 이유로 소유권을 빼앗아 간다는 것이 자본주의 사회에서 가능한가? 부동산을 가지고 있는 소유자 입장에서는 말이 안 된다고 생각할 것이다. 법을 만드신 분들이 설마 아무 생각 없이 이런 법을 만들었을 리는 없다. 20년을 가지고 있으면 내 부동산이 된다는 ‘점유취득시효’에 대하여 알아보자.

20년간 점유하면 내 땅이 된다고?
출처 직방
점유취득시효란?
민법 245조에서 점유취득시효에 대해 규정하고 있다.

20년간 소유의 의사(자주, 自主)로 평온(물건을 순순히 건네받은 경우처럼 폭력을 쓰지 않음), 공연(누구나 알 수 있게 드러내 놓음)하게 부동산을 점유하는 자는 등기를 함으로써 소유권을 취득한다고 되어 있다.

가령, 1971년부터 최초 점유했다면 1991년에 점유취득시효가 완성되어 내 부동산이 되는 것이다.
부동산을 20년 동안 점유하면 취득시효가 완성된다.
출처 직방
주의해야 할 점은 반드시 등기가 필요하다는 것이다.

땅에 떨어진 물건을 주웠을 때, 6개월 동안 주인이 안 나타나면 내 소유권이 되는 유실물 습득과 같이 별도 계약 없이 법률 규정에 의해 취득되는 권리 중 유일하게 등기가 필요한 것이 취득시효다. 그냥 점유만 하고 있으면 되는 것이 아니라 등기도 꼭 해야 한다.

만약 20년간 땅을 사용하면서 취득시효가 완성되었는데, 등기를 하지 않고 있다가 그 땅이 매매가 되어 땅 주인이 바뀌어 버리면 새로운 땅 주인한테 소유권을 주장할 수 없기에 혹시라도 취득시효가 완성되었다면 빨리 등기를 하는 것이 좋다.

쉽게 말해 문제 일으키지 않고 조용하게 시골 땅과 집을 사용하면서 20년이 지나 등기까지 하면 내가 주인이 될 수 있다는 의미다. 하지만 실제로 알고 보면 실현하기 굉장히 어려운 제도다. 해당 법으로 인해 피해자가 생기는 것을 막기 위해 부동산 소유자가 재산을 지킬 수 있는 안전장치를 마련해 두었기 때문이다.
직방에서 본 전국 아파트 매매 시세다.
출처 직방
물건적 청구권?
그 안전장치는 바로 물건적 청구권이다. 내 땅에서 나가달라는 요청을 하면 취득시효는 유명무실해진다는 의미다.

예를 들어, 시골에 주인 없어 보이는 땅이 있어서 농사를 짓고 있었다고 하자. 시간이 흘러 점유한지 19년째가 되던 날, 땅주인에게서 연락이 왔다. 당신이 내 땅을 불법 점유하고 있으니 나가 달라고. 그렇게 되면 취득시효는 원점으로 돌아간다. 취득시효를 얻기 위해서는 그 시점에서 다시 20년을 평온, 공연하게 점유해야 한다. 부동산 소유주는 적어도 20년에 한 번은 내 부동산을 점유하고 있는 누군가가 있나 확인해야 할 것이다.

그런데 가령 1971년부터 점유했는데, 너무 오래되어서 입증할 사람이 없고 그나마 1981년부터 입증이 가능한 상황이라면 입증 가능 시점인 1981년부터 기산되어 2001년이 되어야 취득시효가 완성된다. 하지만, 그 도중 1985년에 소유자가 변경된다면 또 문제는 달라진다.

점유기간 중 소유자 변동이 있으면 점유기간, 점유개시일을 변경하는 것이 불가해서 소유자 변경시점인 1985년부터 20년이 지나 2005년이 점유취득시효 완성시점이 된다. 이렇게 소유자가 변동된 시점을 새로운 기산점으로 삼아 다시 점유취득시효가 완성되는 것을 재취득시효라 한다.
점유 도중 소유자가 변경되면 그 시점부터 점유 기간을 기산해야 한다.
출처 직방
이렇듯 점유취득시효는 사실상 상태를 존중하는 제도로 현실적으로 남의 땅을 20년간 점유해서 내 것으로 만들기란 매우 어렵다. 방치되어 있는 부동산이 있다해도 그림의 떡인 것이다.
등기부취득시효란?
취득시효에는 점유취득시효만 있는 것이 아니고 등기부취득시효도 있다.

등기부취득시효는 부동산의 소유자로 등기한 자가 10년간 소유의 의사로 평온, 공연, 선의(있다고 믿는 것), 무과실(잘못이 없는 경우 즉, 주의를 해도 알 수 없음)로 점유하면 소유권을 취득하는 제도다.

소유자가 등기만 하면 되지, 10년간 점유도 해야 한다는 말인가? 그게 아니라 이 등기부취득시효제도는 등기까지 해서 자기 부동산인줄 알고 있었는데, 등기 무효사유에 해당되어 실제는 자기 부동산이 아닌 경우라도 등기 기간이 10년이 되고 10년간 점유도 했다면 소유권을 인정해 주는 제도다.
취득시효에는 점유취득시효와 등기부취득시효가 있다.
출처 직방
그리고 동산 물건에 대해서도 취득시효제도가 있기는 하나, 그것을 최소 5년에서 10년간 점유하는 것이 현실적으로 어렵기에 사실상 동산 물건의 취득 시효는 거의 없다고 보면 된다.


글. 김인만 / 김인만부동산연구소장
'7일만에 끝내는 부동산 지식' 저자
네이버 카페 '김인만 부동산 연구소'
유튜브 '김인만 부동산TV